名古屋市瑞穂区の女医の歯医者|麻里デンタルクリニック|ホワイトニング、セラミッククラウンなど審美歯科が好評です。
お気軽にお問い合わせください
Tel.
0120-815-118
お問い合わせ
求人情報
サイトマップ
メニュー MENU
トップページ
HOME
スタッフのご紹介
About us
初めての方へ
New Patients
Q&A
Q and A
スマイルギャラリー
Smile Gallery
料金表
Fees
診療時間・地図
Address
トップページ
>
スマイルギャラリー
スマイルギャラリー
Smile Gallery
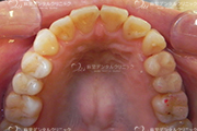
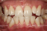
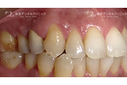
ホワイトニングや審美歯科治療後の素敵な笑顔です。
ただし、歯ぐきの写真などを気持ち悪く感じる方は、あまり見ないでくださいね。
>>詳細へ
>>詳細へ
>>詳細へ
>>詳細へ
>>詳細へ
>>詳細へ
>>詳細へ
>>詳細へ
>>詳細へ
24時間ネット予約はこちらから
ツイート
Site Menu
トップページ
HOME
スタッフのご紹介
About us
初めての方へ
New Patients
Q&A
Q and A
スマイルギャラリー
Smile Gallery
料金表
Fees
診療時間・地図
Address
Copyright(C) 麻里デンタルクリニック All Rights Reserved.