名古屋市瑞穂区の女医の歯医者|麻里デンタルクリニック|ホワイトニング、セラミッククラウンなど審美歯科がおすすめです。
お気軽にお問い合わせください
Tel.
0120-815-118
お問い合わせ
求人情報
サイトマップ
メニュー MENU
トップページ
HOME
スタッフのご紹介
About us
初めての方へ
New Patients
Q&A
Q and A
スマイルギャラリー
Smile Gallery
料金表
Fees
診療時間・地図
Address
トップページ
>
スマイルギャラリー
>
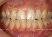
ホワイトニング 症例5
ホワイトニング
症例5
ホワイトニング 症例5
施術内容
歯を白くしたいとご希望がありデュアルホワイトニングを実施しました。
施術前
施術後
治療期間・回数
トータル約3週間、オフィスホワイトニングの来院2回、自宅にてホームホワイトニング2週間
費用
パーフェクトホワイトニングコース44,000円(税込)
リスク・副作用
個人差があるため事前にどの程度白くなるかの予測が困難、ペリクルが再生するまでの12~24時間知覚過敏のような症状がでる場合がある、妊娠中・授乳中の方には安全性が確立されていない、無カタラーゼ症の方は禁忌
< 前へ
Gallery Top
次へ >
ツイート
Site Menu
トップページ
HOME
スタッフのご紹介
About us
初めての方へ
New Patients
Q&A
Q and A
スマイルギャラリー
Smile Gallery
料金表
Fees
診療時間・地図
Address
Copyright(C) 麻里デンタルクリニック All Rights Reserved.