名古屋市瑞穂区の女医の歯医者|麻里デンタルクリニック|ホワイトニング、セラミッククラウンなど審美歯科がおすすめです。
お気軽にお問い合わせください
Tel.
0120-815-118
お問い合わせ
求人情報
サイトマップ
メニュー MENU
トップページ
HOME
スタッフのご紹介
About us
初めての方へ
New Patients
Q&A
Q and A
スマイルギャラリー
Smile Gallery
料金表
Fees
診療時間・地図
Address
トップページ
>
スマイルギャラリー
>
ホワイトニング 症例4
ホワイトニング
症例4
ホワイトニング 症例4
施術内容
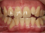
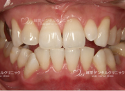
審美性向上のためデュアルホワイトニングを実施しました。
施術前
施術後
治療期間・回数
トータル約3週間、オフィスホワイトニングの来院2回、自宅にてホームホワイトニング2週間
費用
パーフェクトホワイトニングコース44,000円(税込)
リスク・副作用
個人差があるため事前にどの程度白くなるかの予測が困難、ペリクルが再生するまでの12~24時間知覚過敏のような症状がでる場合がある、妊娠中・授乳中の方には安全性が確立されていない、無カタラーゼ症の方は禁忌
< 前へ
Gallery Top
次へ >
ツイート
Site Menu
トップページ
HOME
スタッフのご紹介
About us
初めての方へ
New Patients
Q&A
Q and A
スマイルギャラリー
Smile Gallery
料金表
Fees
診療時間・地図
Address
Copyright(C) 麻里デンタルクリニック All Rights Reserved.