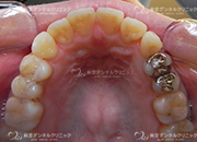
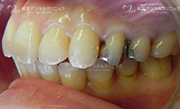
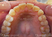
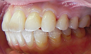
セラミックインレー
当院で扱っているセラミックインレーにはe.max(イーマックス)とジルコニアがあります。
ジルコニアインレーの方が強度がありますが、e.maxインレーの方が色が合わせやすく自然な仕上がりになる事が多いです。
ジルコニアインレーはCAD/CAMという技術により製作された物を使用し、e.max(イーマックス)はプレスいう技法で製作された物を扱っています。
それぞれのメリット・デメリットを患者さんと相談のうえ決めています。
< 前へ Gallery Top 次へ >





