名古屋市瑞穂区の女医の歯医者|麻里デンタルクリニック|ホワイトニング、セラミッククラウンなど審美歯科が好評です。

お気軽にお問い合わせください
Tel.0120-815-118
トップページ >  スマイルギャラリー >  ハイブリッドクラウン

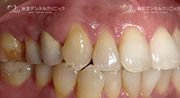
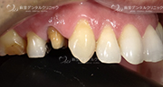
白いかぶせ物ハイブリッド冠

ハイブリッドクラウン

よく歯ぎしりをされるとの事で、オールセラミッククラウンより柔らかいハイブリッドレジンを築盛したクラウンを作りました。
ハイブリッドレジンブロックを削り出して作るCAD/CAM冠(保険適用)との違いは、熟練の技工士が手作業で様々な色のハイブリッドレジンを盛り上げ表情(グラデーションや模様など)をつけた一点物であるという点です。
この症例では、1本奥の歯の根元が黄ばみがあり先端が白かったので、同じ色にバッチリ合わせて頂きました。

< 前へ Gallery Top 次へ >

ページトップへ戻る
Copyright(C) 麻里デンタルクリニック All Rights Reserved.